图片 美容冠修复老鼠牙案例_365体育竞猜_365体育投注-网址|直播
美牙热线:400-8888-888
    当前位置:365体育竞猜_365体育投注-网址|直播 > 关于医院 > 康复案例 >
美容冠修复老鼠牙案例
来源:365体育竞猜_365体育投注-网址|直播 更新时间:2015-04-06 11:09 点击:
新年特惠送祝福

大龄剩女的蜕变之路
  
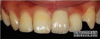
  基本信息:方小姐,29岁,因老鼠牙来院就诊
  
  患者自述:对自己的前牙形态和颜色均不满意,目前已到适婚年龄,却仍然单身,几次相亲都因为牙齿难看,而被委婉拒绝,为此感到十分自卑,急切要求美容修复。
  
  平时工作比较忙,无法兼顾长达2年之久的钢丝正畸,想寻求一种不用戴牙套,时间较短的牙齿矫正方式。
  
  诊断方案:通过3D数字化全景机的全面检查,和患者的主观述求,最终选定美容冠牙齿矫正修复方案,满足患者既想矫正牙齿,又想美白牙齿的需求,同时不戴牙套,7天快速完成,方小姐很快采纳了该方案。

初诊照  
  初诊照

美容冠矫正修复前  
  美容冠矫正修复前

美容冠矫正修复后

美容冠矫正修复后  
  美容冠矫正修复后
 

  案例回访:经过美容冠美牙后,方小姐的笑容明显比从前多了起来,整个人更阳光、自信,桃花运自然也是直线上升。目前,方小姐已成功找到了她的另一半,正考虑携手步入婚姻的殿堂,为此我们深深的祝福他们,幸福长长久久!

温馨提示:当文章不能完全解决您的问题时,请点击在线咨询与西宁京瑞口腔专家一对一交流!打字不方便的朋友可拔打我院24小时咨询热线:09718222218,与专业口腔医生进行语音交流。
    西宁京瑞口腔以专业的心,做专业的事!现在进行网上预约,享受"优惠活动",不用排队,节省您的时间和精力!